- Max Joao Martínez Utrera

- Feb 19
- 4 min read
¿Sabías que una convulsión puede dejar una “huella” temporal en el cerebro, visible en la resonancia magnética (RM)? Así como un rastro en la arena que desaparece con el tiempo, estas imágenes ofrecen una visión fascinante del impacto ictal, ayudando a los radiólogos a entender lo que ocurre durante y después de una convulsión. ¡Vamos a explorar estos cambios y su relevancia clínica!
Lo que las RM Periictales Revelan
Cuando un paciente presenta una convulsión, las RM pueden mostrar anomalías que imitan condiciones graves como tumores o accidentes cerebrovasculares. Aquí es donde la experiencia del radiólogo se vuelve clave para interpretar estos hallazgos.

Hallazgos Locales Clave:
Hinchazón local: Se observa como borramiento de surcos y marcas girales.
Hiperintensidad en T2: Asociada con edema y gliosis.
Restricción de difusión: Luz brillante en imágenes DWI y oscurecimiento en mapas ADC.
Realce con contraste: Indica alteración de la barrera hematoencefálica.
¿Sabías que...?
En un estudio de 69 pacientes con status epilepticus, el 28% mostró restricción de difusión cortical o talámica atribuible a la convulsión.

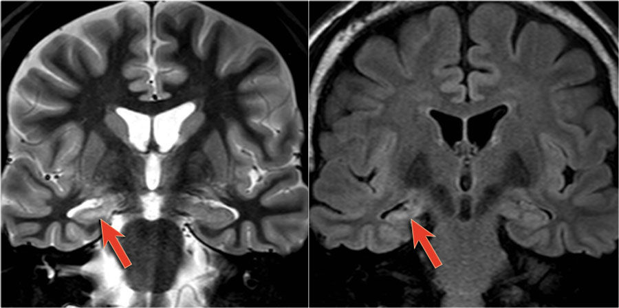
Figura 1. T2 Hiperintensidad en el Hipocampo Derecho
"¿Huellas de una convulsión? 🧠✨ Esta RM muestra hiperintensidad en T2 y restricción de difusión en el hipocampo derecho y el tálamo ipsilateral. Aunque estas señales son típicas de una actividad convulsiva reciente, la diferenciación con encefalitis herpética es clave, dado el patrón limitado al hipocampo. Un caso que nos reta a mirar más allá de lo evidente."Fuente: Gaillard F. Seizure related restricted diffusion. Case study. Radiopaedia.org. Consultado el 28 de enero de 2025. https://doi.org/10.53347/rID-46058.

Cuando el Problema No Está en el Sitio de la Convulsión
Los cambios remotos son tan intrigantes como los locales. Por ejemplo, la diasquisis cruzada cerebelosa muestra cómo las áreas neuronales conectadas al foco convulsivo también pueden verse afectadas.
Ejemplos de Cambios Remotos:
Diasquisis: Restricción de difusión en el cerebelo contralateral.
Lesiones en el esplenio: Áreas transitorias de hiperintensidad, a menudo relacionadas con clusters convulsivos.
PRES: Edema simétrico en sustancia blanca posterior, relacionado con hipertensión o convulsiones intensas.

Figura 2: Edema Citotóxico en Hemiconvulsión-Hemiplejía
Cuando la RM cuenta la historia. 🧩 Esta imagen muestra borramiento surcal en el hemisferio izquierdo con hiperintensidad difusa en FLAIR y DWI, pérdida de señal en ADC y edema citotóxico. A pesar del compromiso hemisférico, el patrón respeta los núcleos profundos y excluye áreas vasculares específicas. Todo apunta a la fase aguda del síndrome hemiconvulsión-hemiplejía, demostrando la importancia de un análisis detallado.
Fuente: Pfleger R. Acute phase of hemiconvulsion-hemiplegia epilepsy syndrome. Case study. Radiopaedia.org. Consultado el 28 de enero de 2025. https://doi.org/10.53347/rID-29309.
¿Por Qué Importa para tu Práctica?
La interpretación correcta de los hallazgos periictales puede evitar diagnósticos erróneos que lleven a tratamientos inadecuados. Aquí algunas aplicaciones prácticas
Diferenciar entre Isquemia y Convulsión:
La hiperperfusión en RM perfusión junto con señales en T2 y DWI puede indicar un estado postictal, no isquémico.
Planificación Quirúrgica:
Las anomalías en RM pueden guiar la localización del foco epiléptico para intervenciones quirúrgicas.
Seguimiento Clínico:
Los estudios seriados ayudan a evaluar la reversibilidad de los cambios, diferenciándolos de patologías crónicas.
En un paciente con crisis tónico-clónicas recurrentes que llega a urgencias en un hospital público, el uso correcto de RM puede evitar confundir los hallazgos con un accidente cerebrovascular, guiando el tratamiento hacia el manejo neurológico adecuado.
Resumiendo las Claves
Los cambios periictales son reversibles: No confundas la causa con el efecto.
Usa las herramientas disponibles: RM seriada y perfusión son tus mejores aliados.
Distingue con claridad: Conoce las diferencias entre los hallazgos ictales y otros diagnósticos graves.

Conclusión
La resonancia magnética en el contexto de convulsiones no solo ilumina el cerebro, sino que también empodera a los radiólogos para tomar decisiones informadas y precisas. Reconocer estos cambios, tanto locales como remotos, es clave para evitar errores diagnósticos y optimizar la atención al paciente.
Referencia: Cole, A. J., et al. (2023). Magnetic resonance imaging changes related to acute seizure activity. UpToDate. Consultado el 25 de enero de 2025.














Comments